And what joys and sorrows will this year bring? Friends of ours said they had been to 18 funerals and thanksgivings in 8 months. But there will be new beginnings, fresh starts. Thrills as well as spills. These days Paul often refers to himself as a miserable old git - hopefully it's not true most of the time. But there are and there will be slippages - how we need to be refreshed by the Holy Spirit each day. Over the years, since retirement, we have had daily prayers together following many different patterns. For a couple of years now we have used the Franciscan Celebrating Common Prayer which eventually seemed to give birth to the CoE Daily Prayer.
To Norway - with Hurtigruten. Right up the coast, entering the Arctic Circle, to within 7k from Russia. Very, very enjoyable - do look at the gallery.
April 6th. A request from Room for Refugees that we shelter Betty and her three children for 5 days. Levi, 10 months, Laura, 5 years and Lois, 7. Paul meets them on the platform at West Byfleet, accompanied by Caitlin their support worker from Hibiscus. Five days pass quickly and we agree a further time and get them into school at the Marist. Time does whatever time does. Our first pic here is actually in June as we enjoyed a smoothie crafted by Betty. Our large feline friend from next door joined the party.


Paul has no problem with walking on the flat. Thought it about time he went for a decent outing so walked where he had never walked before! Along the river from Pyrford to Guildford - finishing at Dapdune Wharf where a phone call brought the rescue service in the shape of Pat in her Hyundai. Lovely day, great walk in quite a fast time. Arrived with no money for a cuppa or ice cream!
Went to see Walter and Tessa. One or other of their five children are with them every day. At the moment Jon and Anisa are living just down the road. They entertained us to lunch. Walter has some mobility problems but otherwise is fine. Tessa has Alzheimer’s but no mobility problems - she is out for a walk every day!
And we wanted to visit Micky Crane but sad to say he also has Alzheimer’s and Maggie is struggling with Parkinsons and doesn't feel able to host a visit.
For various reasons our Home Group which had been going for 5 years gradually got down to an unsustainable four and so, sadly, we folded. We've never thought it right to recruit in the church as that could be seen as undermining it's leadership which we will not do.
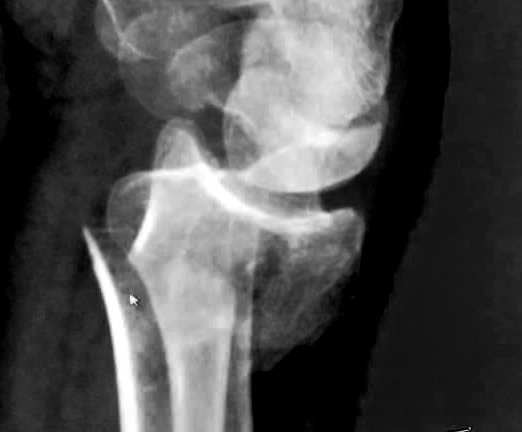
Having traversed the country from Lands End to John O'Groats, the continent from Calais to Marseilles, peddaled a few thousand miles across Canada, sprinted around the London 100 mile olympic circuit and mastered various mountain trails, Simon conspired to fall of his bike at the bottom of East Hill and broke his wrist. Fortunately his left wrist. Come in St Peter's. It's only 15 minutes away.
Pat is not driving enough so we take a visit to Clandon Park. This NT property was destroyed by fire a couple of years ago and NT are in the process of restoration. Just a few bobs worth of scaffolding. and then a weather protecting cocoon.



After months trying to arrange a meet, including an aborted day, David and Joan travelled to Wisley to meet us there. Having walked a lot and eaten a little we arranged I would drive out first so they could follow to Fosters. But it all went wrong. We each went to our cars in different numbered parks. Before reaching the Hyundai I realised I had no keys. Where could they be? Pat wanted to search by the car which was nonsense to me. Brain in gear. First try to stop them leaving. No joy. Then return to the gardens and, ah yes, I went to the staff loo on the way in (combination of diuretic pills and volunteer staff priviledges). There they were: sitting on a table top. David wouldn't wait on route when it dawned that our plan had failed. He got lost and instead of asking for help, and ignoring Joan's counsel, drove straight back to Maidstone!
And still the little ones are with us and we have more pics of them than of our own grandchildren - of course they are here all the time.






Norway, again?? Yes. Having travelled the coast south to north in the
season of ice and snow we thought to visit the inland in the summer from a fixed base. Beautiful venue. Lovely hotel. Great weather.
So pleased we chose to go.
A couple of hundred yards from the hotel in Balestrand was this church, built for an English lady and still maintained as an English church. We visited for Compline on Thursday evenings and the main service on both Sundays. We learned it was the church where Princess Elsa of Arendelle was married! (the film 'Frozen')
Returning to Gatwick we were due to be collected by Simon, whose wrist by then allowed him to drive even if he was still nervous on his bike. He rang to say where he was waiting, I answered the phone and told Pat who turned as I told her he was waiting. Unfortunately we were on the travellator and very near the end of travel. It stopped before we did. Pat - facing the wrong way - fell: I hurdled her and landed right on her specs. Wire frames are not built to withstand hurdlers. But much worse was that Pat was hurt and in pain. We stopped at Simon's house and from there to St Peter's Hospital, returning home hours later with diagnosis and plaster.
Herewith our final holiday pic the rest of which are worth seeing if you click here.


We've been pleased to have a series of guests in Millview. So much better than it being empty. Ian from Evenlode has been doing external decorating - over a very long time period. Hopefully in due course he will also get the patio and garden into a respectable shape after the deplorable state in which Ezikiel left it.
Time for even more holidays. This time it's Madeira - and one of our company was plastered; the wrist, that is, bright blue. Another HPB venue. The site is perched on top of the highest sea cliff in Europe. Small island. A bit steep for those who puff yet Pat chose a completely flat bit to fall over - again. Nervous examination - fortunately no damage this time. The first time Paul has been in water - the site swimming pool - since being held back by the ticker. Took it very gently! On the other hand Pat rushed to the sports arena to swing a mean driver - or was it a putter?



Eight years since Anita was introduced to us. Eight years of carefully not asking Simon about his intentions. Eight years in which he changed jobs three times and has lived in three different places. Eight years since he was 46. And now. At last. And we still haven't asked whether Anita gave him an ultimatum. Engaged to be married!!!

Having caught up with Louise, Pat's Bridesmaid, at the birthday party we visited and took lunch with her in Bexhill.
Two ground breaking events also in September emanating from Bolton's Close, preceded by another. First of all Belinda - who must have grown up while we weren't looking - not only passed her driving test first time but also bought a car. A family car. That doesn't mean a big one, it means that following her Grandmother and her Mother she acquired a baby - a baby Hyundai. Then, come September, she flies the nest in favour of Staffordshire University to read Games Art and Visual Effects. Twenty years after I was first engaged with an IBM 360 in 1961 I heard there was a game called Pac-Man - and so that digital scene changer was 40 years ago! I suppose it's a little different these days although why people want to play games instead of working is a mystery to my puritanical outlook.
The second big event centres on Adrian. Although his daily postal rounds probably take more energy that most of us ever spent in a week's work he nevertheless found increasing age (and Annies' cooking and beer festivals) teamed up with increasing size. Previous Journals have detailed Melanie and Timothy running 10k events and others and Simon racing around Surrey on his bike - plus many other muscle sapping outings. Now it's Adrian. Well done, Son. He has started with 5k up and down Box Hill. The Marathon might not be next but we will have to wait and see.



Went to see Brian - first time for a year. Took him out to lunch, had to be a pub which would take the dog without which he goes nowhere! He is in very good shape in spite of being eighty nine.
Paul has been visiting Shirley and Francis Wong every week for what must now be getting on for two years since they went to a nursing home in Byfleet. First of all it was just Shirley with Francis visiting but he got tired of that and took the bed next to her. We sung a hymn and said a prayer every time. Shirley had very little response for some months and this month died in her sleep. Francis had gone downhill quickly although he had been even going out up to the previous month. He died within 4 days of Shirley.
Another friend that has been growing weaker is Ingrid Gray. Lovely lady who is very independent but has great neighbours and a frequent carer. Ian, her son, is a Minister in Scotland and she tries to keep in touch by phone and computer - and with her sister in Australia.
Ugo died peacefully on 25th October. He had been ill with a rare cancer for four and a half years - some four years longer than was originally suggested. Sharon and his lovely children, Ashley, Preston and April, have been wonderful with Sharon's parents, Don and Sita always there - and much more. Sharon took the Italian Ugo back to her native New Zealand when Concorde - on which Ugo was an engineer - was mothballed. We are so grateful to them for giving us a wonderful holiday in 2007, part of our eight weeks in Sharon's country. Photos are often of early years but this one is late on in the day when Ugo even had to hold on to the fence to stand - but stand he did. Ugo was a Christian brother and we thank God for him and commend his family to our Father.

Timothy has been working for an external degree for a long time - perhaps even before Zuzana started! Anyway he's made it at last. Brilliant. Well done Timothy. Because he had been forced to move out of a narrow speciality due to dragging out the time he finished being able to choose whether he would be awarded a B.A. or a B.Sc. A record, as he is the first of his siblings to have man and wife so accredited - although it won't be long before we have another Mr and Mrs Bond sporting an even higher degree of academic class.


And so what happens every year. It runs out of time. Some folk go with it but others, including Paul, get frustrated at not having anything to do in the way of being responsible to other people or an organisation and so this month has submitted two job applications! In this advanced day and age it is illegal to allow ageism in employment but I guess would be employers find a way round. For me they simply said they had applicants more qualified! Can't be true, can it? So it's back to hanging around all day, getting under the wife's feet and that sort of thing. In the event of being hired I did wonder when I might be able to start drawing on the new pension.
Every year so far one of our Christmas Day guests had died by the next. Not this year but Ingrid has just moved to a nursing home in Scotland to be near Ian and so we entertain Peter, Tony and Mike from last year with new boy Francis who with Betty, Levi, Laura and Lois makes it 5 black friends against 5 white (counting in Simon and Anita but not us as hosts).
As noted our camera and those of the children have not been in great evidence this year at our family gatherings. There are just two Boxing Day pics to remind us who we are, one from the walk and one from the party.


We do hope our Readers' year has seen many more joys than sorrows. For ourselves, we are not nearly grateful enough for all we have - we are just so used to it that it can seem like an entitlement. Our mind set and world view seems to be garrisoned by Western 21st century culture which endeavours to keep the Holy Spirit of God at bay. Your Kingdom come is our daily prayer.